診療科紹介
変形性膝関節症、半月板損傷など膝に痛みが起こるすべての病気を対象としています。
変形性膝関節症は、年齢とともに膝関節の関節軟骨がすり減って、膝の痛みと変形がくる病気です。女性に多く、65歳以上の方の約20%にあると言われ、原因は関節軟骨の老化と考えられます。
治療には保存療法(手術をしない治療法)と手術療法があります。比較的初期の変形の軽い時は保存療法で痛みをコントロールできますが、進行すると手術を受けた方がよい場合が多くなります。基本的にはリハビリテーションなど手術以外の保存療法を考えますが、保存療法では軽快しない患者様には、関節鏡手術、膝の矯正手術(骨切り術)・人工膝関節置換術も一部分のみの部分置換術、全置換術など患者様に合った手術療法をしっかり相談の上行います。
主な対象疾患
- 変形性膝関節症
- 半月板損傷
- 靭帯損傷
- 関節リウマチ
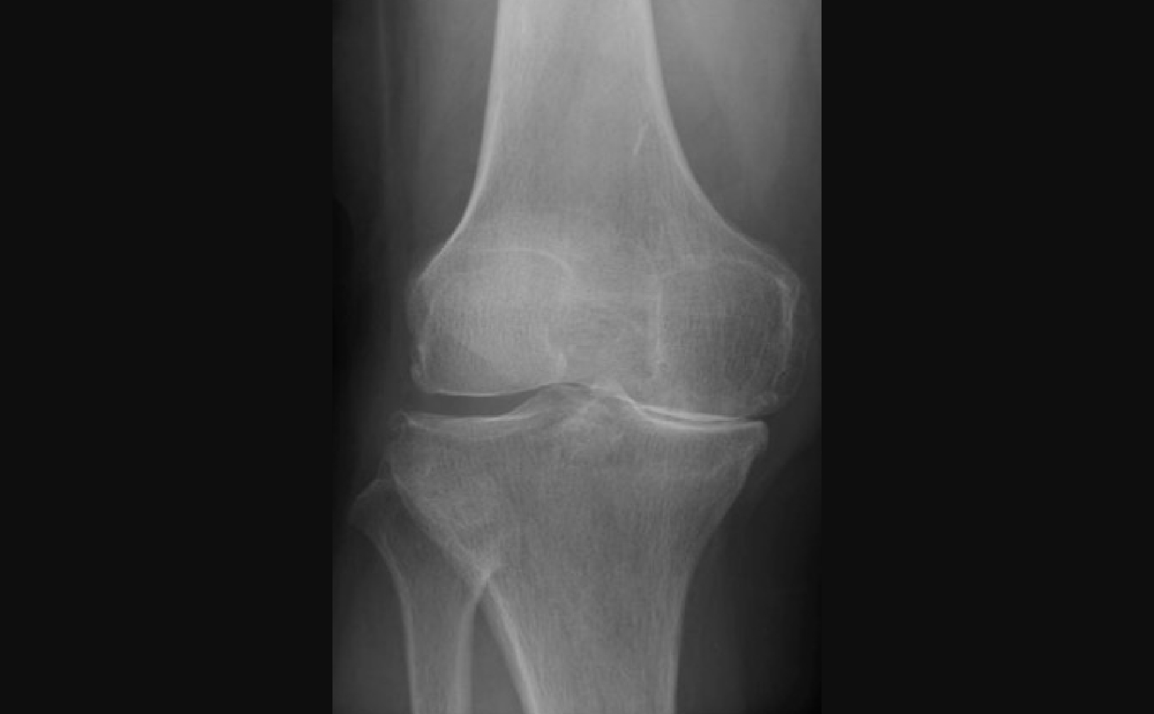
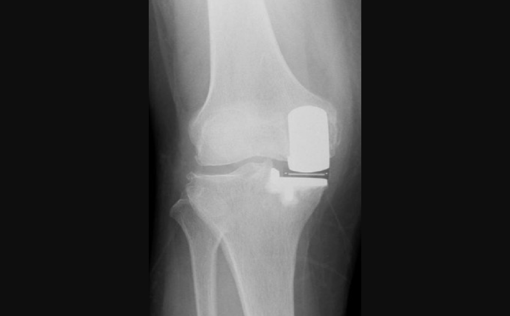
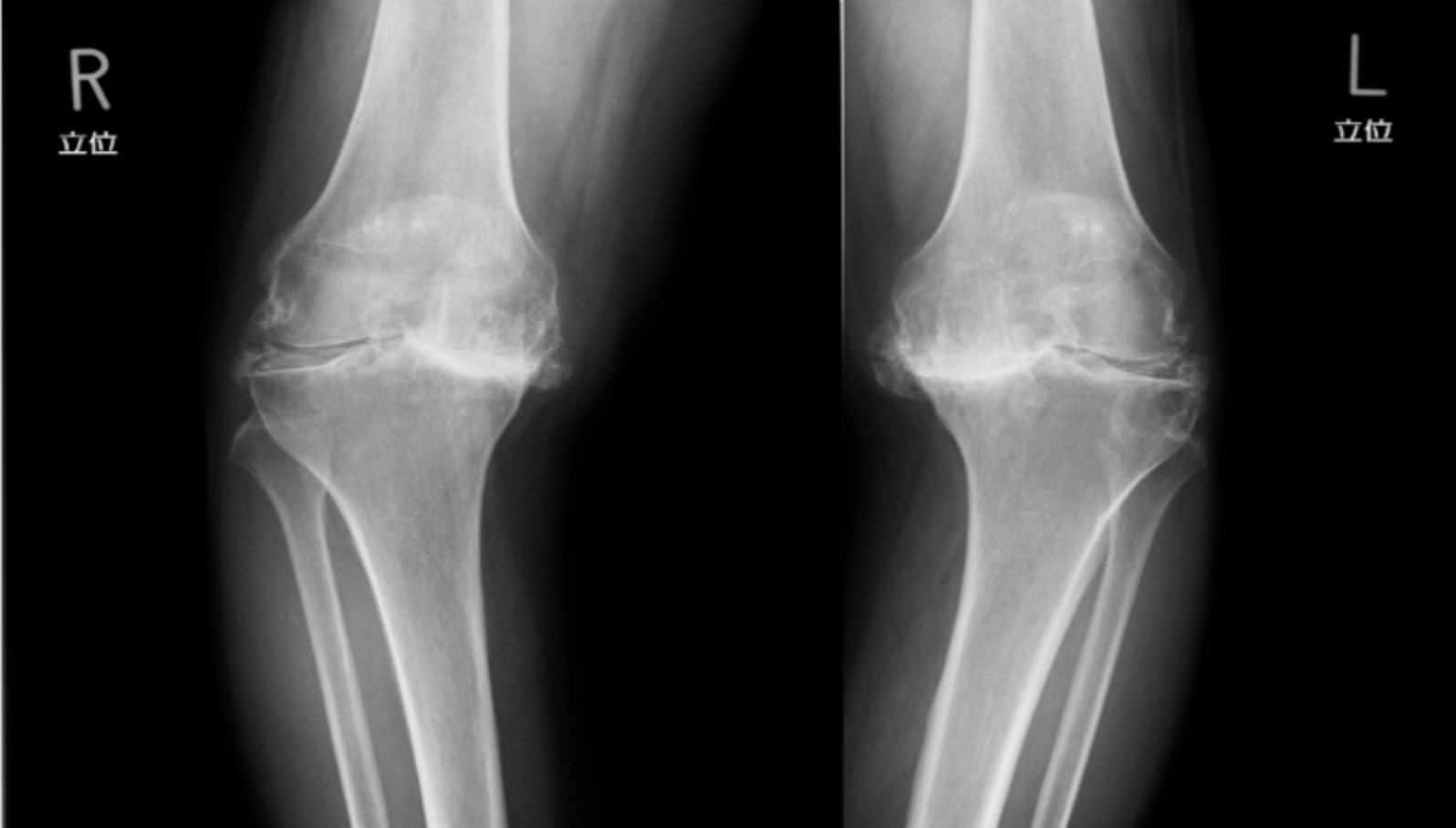
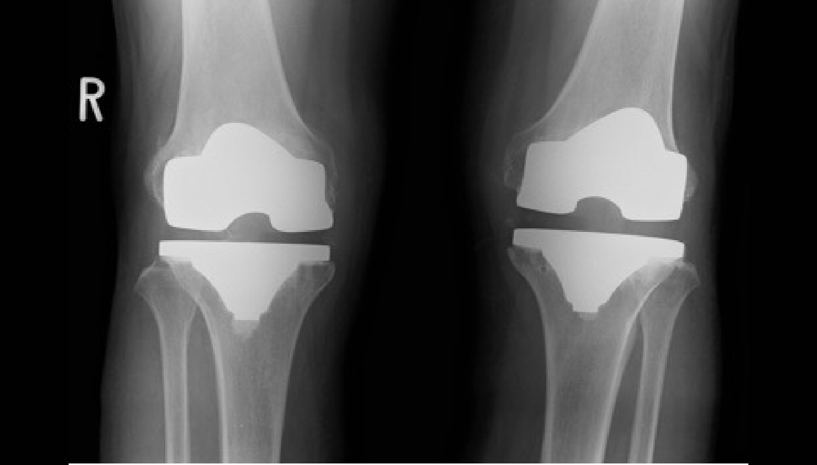
手術前後レントゲン画像
全人工膝関節置換術

術前

術後
単顆型人工膝関節置換術

術前

術後
医師紹介
-
部長
青盛 克裕
役職 - 部長
出身大学 - 京都府立医科大学
- 京都府立医科大学 大学院
常勤・非常勤 - 常勤
資格 - 医学博士
- 日本整形外科学会 専門医
- 日本整形外科学会認定スポーツ医・脊椎脊髄病医・リウマチ医
- 日本リハビリテーション医学会 認定臨床医
- 日本リウマチ学会 専門医
- 日本整形外科学会認定運動器リハビリテーション医
専門分野 - 膝関節
- 関節リウマチ
- 外傷
経歴 1992年5月 京都府立医科大学 整形外科 1995年4月 済生会滋賀県病院 整形外科 1999年4月 京都第二赤十字病院 整形外科 2005年4月 西陣病院 整形外科 医長 2007年4月 西陣病院 整形外科 副部長 2013年4月 堀川病院 整形外科 部長 2017年7月 琵琶湖大橋病院 整形外科 部長
診療実績
| 手術名 | 2024年 | 2025年 | |
|---|---|---|---|
| 人工膝関節置換術 | 55 | 57 | |
| 内訳 | 全人工膝関節置換術 | 48 | 52 |
| 単顆型人工膝関節置換術 | 7 | 5 | |
| 半月板手術 | 16 | 21 | |
人工膝関節置換術、膝半月板手術などに対応しており、早期復帰のために、リハビリテーションに力を入れています。
医療関係者の⽅
2017年7月から現在の琵琶湖大橋病院整形外科を立ち上げ、出来るだけ断らないをモットーに少ないメンバーですが、膝関節の専門外来と一般整形外科の外来および手術を行なってきました。高齢化に伴い変形性関節症の患者様が増加しており、保存療法に抵抗する患者様には、全人工膝関節置換術U(TKA)、単顆型人工関節置換術(UKA)、高位脛骨骨切術(HTO)など患者様に合った治療法をしっかり相談の上、選択しております。またリウマチ患者に対しての生物学的製剤などによる薬物療法なども行っておりますので、難治症例については是非ご相談ください。
最近では大腿骨近位部骨折の超早期手術の重要性が認識されるようになってきていますが、当院では以前から人工骨頭や骨接合材料を常備し、緊急手術にも対応しております。京都府立医科大学整形外科の関連病院にもなり、人工股関節置換術などより多くの患者様に対応可能な体制作りを行っておりますので、どうぞ宜しくお願いいたします。







